Copyrights © 2021
Präzision µm-Bereiche sind unser Spezialgebiet
VERBLENDKERAMIK (VMK)
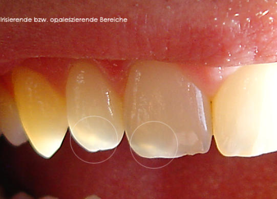
Die Methode, dass auf einem Metallgerüst mit zahnfarbenen Keramikmassen die Zahnform aufgebrannt wird, ist schon seit Jahrzehnten im Einsatz und wird noch heute überwiegend verwendet. Bei der Auswahl unserer Materialien legen wir besonderen Wert auf Keramikmassen, die fast identische Eigenschaften eines natürlichen Zahnes aufweisen.
Unsere Gerüste werden mit irisierenden und opaleszierenden Keramikmassen so verblendet, dass die Schichtung der eines natürlichen Zahnes entspricht und sich bei unterschiedlichsten Lichteinwirkungen (z.B. direktes Sonnenlicht, künstliches Licht) wie sein Vorbild verhält.
____________________________________________________________________________________________________________________________________
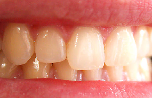
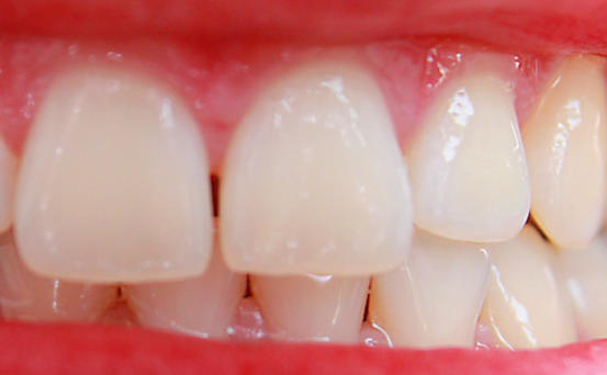
VOLLKERAMIKSYSTEM
Für die metallfreie Rekonstruktion von Zahnersatz bieten wir Vollkeramikkronen und -brücken, Veneers, Inlays und Onlays an. Hervorragend geeignet ist diese Art von Zahnersatz für Front- und Seitenzähne, die der direkten Lichteinwirkung ausgesetzt sind.
Vollkeramik ist eine sehr ästhetische und körperverträgliche Variante. Sie überzeugt in Farbe, Form und in mechanischen Eigenschaften.
_________________________________________________________________________________________________________________________________
KOMBINIERTER ZAHNERSATZ
Kombinationsarbeiten sind eine Kombination aus festsitzendem und herausnehmbarem Zahnersatz. Nicht zu unrecht wird diese Art des Zahnersatzes auch die Königsdisziplin genannt und erfordert sehr viel Wissen und Erfahrung.
Wir haben uns auf Teleskop, Konus-, Geschiebe- und Riegeltechnik spezialisiert, um auch in sehr komplexen Fällen einen perfekt umgesetzten individuellen Zahnersatz anbieten zu können.
_________________________________________________________________________________________________________________________________
IMPLANTATE
Zahnimplantate werden operativ in den Kieferknochen eingesetzt und bilden eine stabile Grundlage für den festsitzenden und anehmbaren Zahnersatz. Sie bieten eine langlebige Alternative zum herkömmlichen Zahnersatz.
Wir arbeiten mit allen führenden Implantatsystemen und haben auf diesen Gebieten umfangreiche Erfahrungen, sodass wir uns sehr leicht für unsere Zahnärzte auf alle Implantatsysteme einstellen können.
_______________________________________________________________________________________________________________________________
INDIVIDUELLE TOTALPROTHETIK
Bei einem totalen Zahnverlust bietet die Totalprothetik die letzte Möglichkeit das Kausystem wieder komplett herzustellen. Zusätzlich wirkt sich die Totalprothese natürlich auch positiv auf das Aussehen des Patienten aus (eingefallene Lippen werden wieder aufgefüllt und wirken vitaler). Somit verbessern neue, schöne Zähne nicht nur die Nahrungsaufnahme, sondern nachweislich auch das Wohlbefinden des Patienten.
Wir haben es uns zur Aufgabe gemacht, unsere Totalprothetik so individuell zu gestalten, dass Patienten nicht nur Ihr Strahlen wiedererlangen, sondern auch wieder kräftig zubeißen können. Dabei sind uns Form, Funktion und Stabilität gleichermaßen wichtig.
______________________________________________________________________________________________________________________________
TIEFZIEHTECHNIK
Mittlerweile ist die Tiefzieh- bzw. Druckformtechnik in vielen Bereichen der Zahntechnik und -medizin etabliert. Durch den Einsatz von Tiefziehfolien unterschiedlicher Stärke, Elastizität, Shore Härte, Beständigkeit und Bruchfestigkeit können Schienen für fast alle Indikationsbereiche in Prothetik und Kieferorthopädie angefertigt werden.
Wir erstellen für Sie Temporär- oder Langzeit-Retainer (Zahn- Stabilisierungs- Schienen für Kieferorthopädische Behandlungen), professionellen Sport- und Mundschutz, Bleaching-, Knirscher-, Michiganschienen bis hin zu perfekt sitzenden Bohrschablonen für die Implantattechnik.
_____________________________________________________________________________________________________________________________
LASERSCHWEISSTECHNIK
Die Schweißnaht, die durch das Laserschweißen ermöglicht wird, ist korrosionsbeständig und biokompatibel. Sie besitzt eine sehr hohe Verbundfestigkeit und kann ohne den Zusatz von artfremden Legierungen auskommen.
Da das Laserschweißen in vielen Bereichen der Zahntechnik zum Einsatz kommen kann, ist es heute eine Alternative zum Löten und bietet den Vorteil, dass an Gerüsten, Kombinationsarbeiten, etc. geschweißt werden kann, ohne den Verlust von Verblendungen oder Kunststoffsätteln beklagen zu müssen.
Herzlich Willkommen bei Riehle Dental-Technik
WIR MACHEN … ALLES SELBST
Copyrights 2021
Präzision µm-Bereiche sind unser Spezialgebiet